Aktuell wird der Fund von Spike-Proteinen in Placenten als regelrecht neue Erkenntnis behandelt, dabei hat der verstorbene Arne Burkhard das bereits alles in seinen Vorträgen gezeigt.
Ab min 30 -32 stellt Arne Burkhardt pathologische Befunde zweier Plazentas vor
von einer Todgeburt in der 37. Schwangerschaftswoche. Das Spike-Protein ist braun eingefärbt über Immunhistologische Färbung.
Eine Plazenta nach Infektion.
Das Spike-Protein wird auch in der Nabelschnur exprimiert:
Eine andere Plazenta nach echter Vireninfektion: Nukleokapsid positiv, Spike negativ
Das ist alles nicht neu, das habe ich schon alles ausführlich im Januar 2024 zusammengefasst:
Neu ist nur, dass diese Erkenntnisse nun offiziell zitierfähig in PLOS erschienen sind und einige weitere Fälle hinzugekommen sind.
Bartmann, C., Schmidt, V., Mörz, M., Schwab, M., Rehn, M., Blau-Schneider, B., Wöckel, A., & Kämmerer, U. (2026). Detection of spike protein in term placentas of COVID-19 vaccinated and/or SARS-CoV-2 infected women. PLoS ONE, 21(3), e0344185. https://doi.org/10.1371/journal.pone.0344185 https://journals.plos.org/plosone/article?id=10.1371/journal.pone.0344185
Vorab ein paar Grundlagen zum Verständnis:
Nukleokapsid- Antikörper:
Dass die Immunfärbung negativ für das Nukleokapsid-Protein ist, heißt, dass wohl keine Infektion mit dem Virus vorlag. Dass ein Mensch negativ für den Antikörper gegen Nukleokapsid ist, heißt nicht, dass es keine Infektion mit dem Virus gegeben hat. Bei Moderna modRNA-Injektion ist es bekannt und veröffentlich, dass nach Moderna Spikevax Injektion teilweise keine Nukleokapsid-Antikörper mehr gebildet werden.
Immunfärbung gegen Nukleokapsid negativ = keine Infektion gehabt.
Antikörper gegen Nukleokapsid negativ = kein Beleg dafür, dass es keine Infektion gab.
Strukturen der Plazenta:
Die Plazenta ist ein Mischgewebe aus 50% mütterlichen und 50% väterlichen Genen. Man könnte auch sagen, sie sind 100% Gewebe es Kindes, welches zu 50% aus den Genen beider Eltern besteht.
Folgende Strukturen sind Mischgewebe aus Sicht der Mutter.
Chorion (Zottenhaut): Der Teil, der die kindliche Seite der Plazenta bildet und die Plazentazotten (Zottenbaum) hervorbringt.
Trophoblasten: Spezialisierte Zellen (Zytotrophoblasten und Synzytiotrophoblasten), die in die Gebärmutter einwandern und den Stoffaustausch regeln.
Amnion (Schafhaut): Die innerste Schicht der Fruchtblase, die das Fruchtwasser umschließt.
Nabelschnur: Verbindet das Kind mit der Plazenta und besteht aus embryonalem Gewebe.
Daneben gibt es auch Strukturen die zu 100% von der Mutter stammen:
Dezidua (Decidua basalis): Die umgewandelte Gebärmutterschleimhaut, die die mütterliche Basis der Plazenta bildet.
Mütterliche Blutgefäße: Die Spiralarterien, die mütterliches Blut in den intervillösen Raum der Plazenta pumpen.
Intervillöser Raum: Die mit mütterlichem Blut gefüllten Hohlräume zwischen den kindlichen Zotten
Das ist wichtig zu wissen, wenn z. Bsp. nur ein Elter gegen COVID injiziert wurde. Der “Impfstatus” der Eltern, ob es nur die Mutter, nur der Vater oder beide waren, kann somit durchaus Einfluss auf die Plazenta haben, da diese 50:50 zusammengesetzt ist bzw. einige Strukturen nur von der Mutter stammen.
Zudem gibt es noch die genomischen Prägung (Genomic Imprinting): Väterliche Gene sind primär für den Aufbau und die Nährstoffextraktion der Plazenta verantwortlich, während mütterliche Gene eher dazu neigen, das Wachstum zu kontrollieren, um die Ressourcen der Mutter zu schonen. Spermien und Samenplasma können epigenetische Signale übertragen, die die Plazentation verändern.
Theoretisch wäre es also möglich bei einer ungeimpften Frau an der Plazenta zu erkennen, ob der Vater “geimpft” war oder nicht. Diese Gerüchte kursieren tatsächlich.
Die frühen Stadien der menschlichen Plazentaentwicklung. Diagramm, das die frühen Schritte der Plazentabildung nach der Blastozystenimplantation darstellt. (A, B) Die prä-lakunären Stadien. (C) Das lakunäre Stadium. (D) Das primäre villöse Stadium. 1° ys, primärer Dottersack; ac, Amnionhöhle; cs, Zytotrophoblastenschale; eec, extraembryonales Zölom; exm, extraembryonales Mesoderm; GE, Drüsenepithel; ICM, innere Zellmasse; lac, Lakunen; LE, Luminalepithel; mn. tr, mononukleärer Trophoblast; pr. syn, primäres Synzytium; TE, Trophektoderm; vs, Blutgefäße.
Abb. 2: Die mütterlich-fötale Schnittstelle und Trophoblast-Subtypen. Dargestellt sind die Zellen in den Zotten der Plazenta im frühen ersten Trimester und die wichtigsten Trophoblast-Subtypen in Bezug auf die Dezidua. Der Bereich der Dezidua wurde so dargestellt, dass er das Myometrium umfasst. Synzytiotrophoblasten (SCT, grau), villöse Zytotrophoblasten (VCT, rosa), die Zytotrophoblastenzellkolonne (CCC) und extravillöse Trophoblasten (EVT) (endovaskuläre und interstitielle EVT, orange) sind dargestellt. Der Endpunkt der EVT-Differenzierung, die Plazentabett-Riesenzellen, sind ebenfalls dargestellt.
Dass die modRNA-LNPs in die Plazenta und Nabelschnur übergehen ist schon lange veröffentlicht.
Das PLOS Paper
Die Daten des Papers stammen von 106 Frauen von November 2020 bis Oktober 2022 aus der Uniklinik Würzburg. D.h es handelt sich um BioNTech Daten, da Würzburg in Bayern liegt. Die Daten sind also nur bedingt auf Pfizer übertragbar. Neben dem Impfstatus wurde eine die Plazenta mit Antikörpern gegen SARS-CoV-2-Spike- und Nukleokapsidproteine immunhistologisch untersucht. Das ist das, was schon Arne Burkhard gemacht hat. Neu ist, dass man auch nach der modRNA der Plörren gesucht hat und zwar mittels In-situ-Hybridisierung.
In- situ-Hybridisierung (ISH) ist eine klassische Standardmethode in der Genetik um Nukleinsäuren (RNA oder DNA) nachzuweisen. Dafür nimmt man den Gegenstrang der zu detektierenden Sequenz (die man dafür natürlich kennen muss), den man mit einer Sonde versieht, die man detektieren kann. Man kann radioaktiv arbeiten, indem man einfach radioaktiv markierte Sonden verwendet (das war zu meiner Zeit Standard), bzw. man koppelt leuchtende Chemikalien, die man mit dem Mikroskop detektieren kann.
Da sowohl BioNTech als auch Moderna ihre modRNA-Sequenzen unterschiedlich “optimiert” haben, gibt es in diesen Sequenzen immer kleine Bereiche, wo man sie mittels dieser kleinen Sonden unterscheiden kann.
87 % = 92 Teilnehmerinnen hatten mindestens eine Impfdosis gegen SARS-CoV-2
56 Frauen (42 geimpfte, 14 nicht geimpfte) erkrankten an COVID-19.
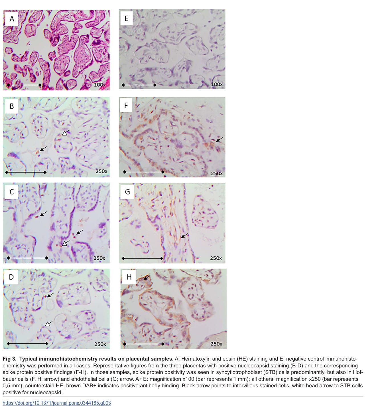
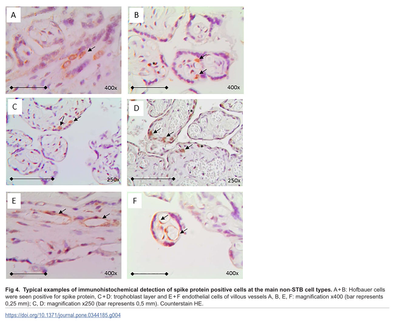
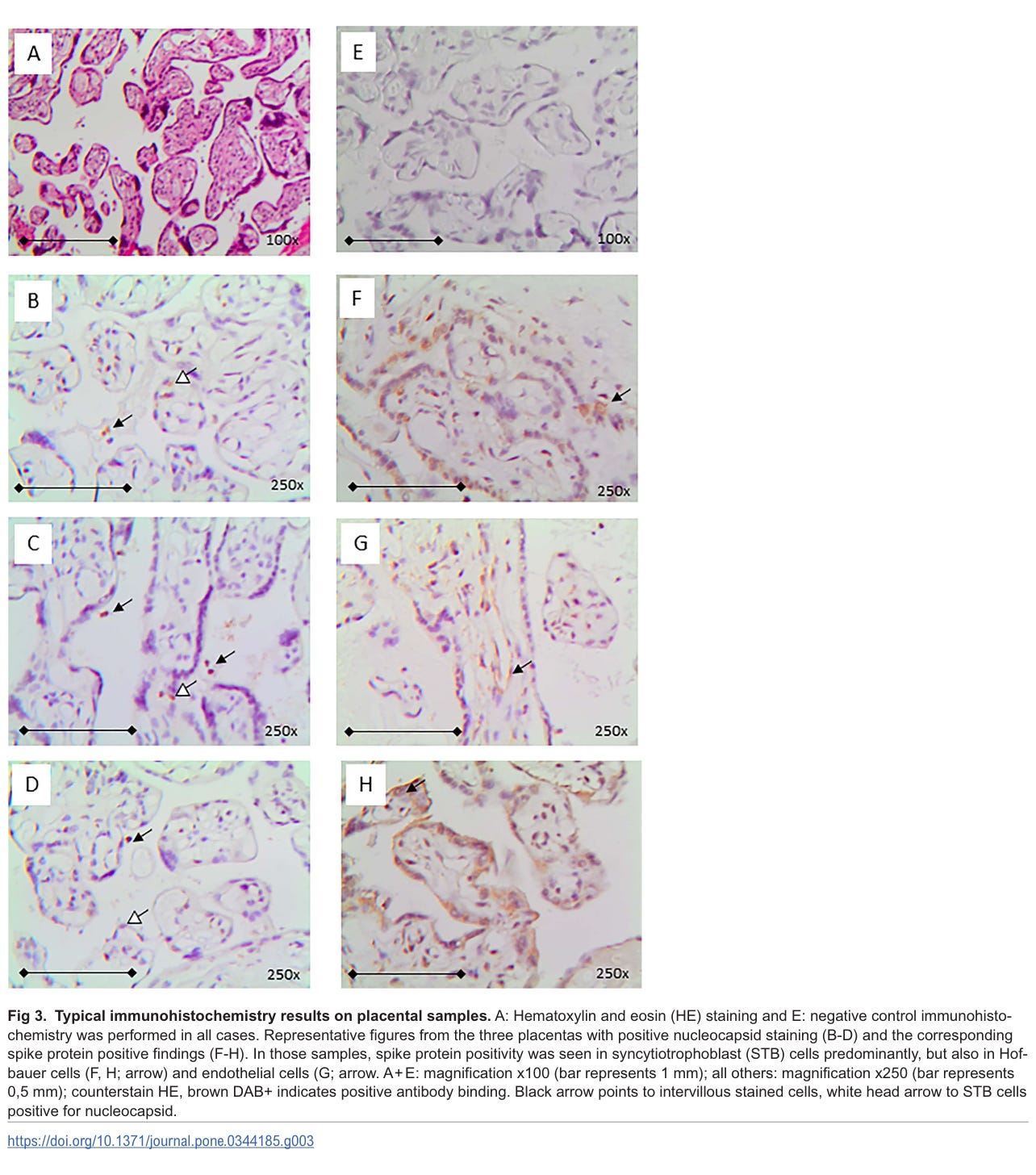
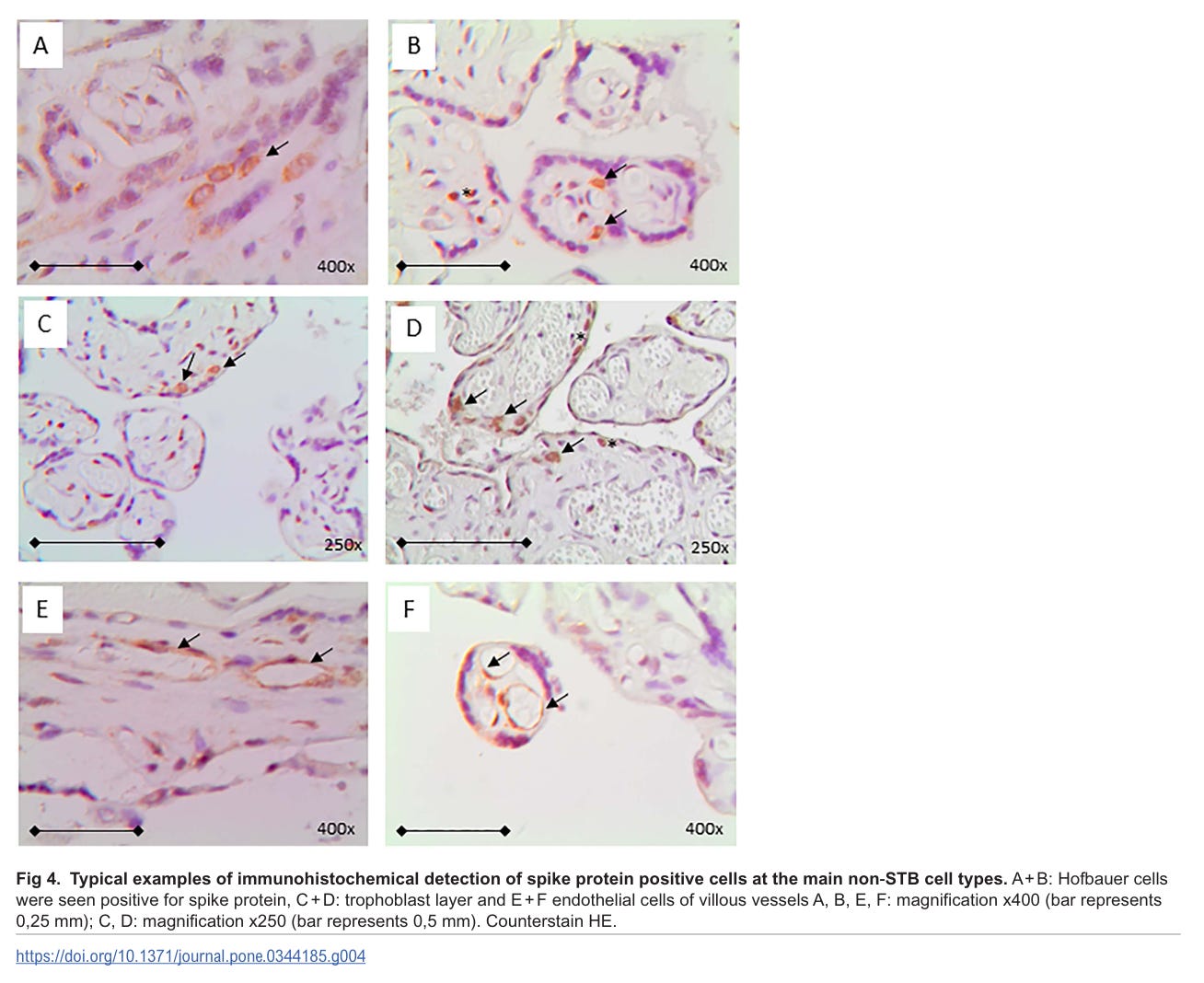
31 Plazenten waren positiv auf das Spike-Protein.
Spike-positive Zellen waren überwiegend Hofbauer-Zellen und Trophoblasten.
Hofbauer-Zellen sind Makrophagen de Fetus.
Trophoblasten sind zu 50% genetisch von der Mutter und zu 50% vom Vater.
Drei Frauen waren sowhl “geimpft”, als auch anschießend mit dem Virus infiziert. In diese Fällen hat man auch Nukleokapsid-Färbung gemacht. Es gab aber keinen signifikanten Unterschied im Färbungsmuster in Korrelation zum Impf-/COVID-19-Status.
Es wurde in keiner der untersuchten Proben virale RNA gefunden aber in zwei Proben die modRNA von BNT162b2 (BioNTech) und mRNA-1273 (Moderna) nachgewiesen.
Der Impfstatus der Probanden wurde erfasst:
Man sieht auch direkt, dass es Kreuzimpfungen bei den Probandinnen gab. Nur 71 erste Injektion BNT162B2 oder 74 zweite Injektion BNT162B2. mRNA-1273 elf zur ersten aber 8 zur zweiten Injektion.
Von den 106 gezählten Neugeborenen (bei Zwillingen das erste Neugeborene) wiesen insgesamt acht Fehlbildungen oder angeborene Erkrankungen auf. Drei dieser Diagnosen waren für das Neugeborene in der postpartalen Phase nicht relevant, sodass keine Aufnahme in die Neugeborenen-Intensivstation (NICU) veranlasst wurde. Fünf Neugeborene mit Fehlbildungen oder angeborenen Erkrankungen wurden auf der Neugeborenen-Intensivstation behandelt, sechs weitere Neugeborene wurden aufgrund von Atemproblemen, medikamentöser Behandlung der Mutter oder Frühgeburt auf die Neugeborenen-Intensivstation aufgenommen.
An dieser Stelle wäre es interessant einen Kontext zu haben.
Wie viele Fehlbildungen sind bei 106 Neugeborenen zu erwarten.
Welche Fehlbildungen waren es. Einige Fehlbildungen sind nach COVID-Injektion laut CDC erhöht.
Die Färbungen sind wie man sie von Arne Burkhard bereits kennt: Wenn Spike-Positiv, dann brauner Niederschlag.
Abb. 6: RNAscope-In-situ-Hybridisierung mit den Sensoren BNT162b2 (A), V-nCOV2019-S Wuhan (B & D) und S-encoding-mRNA-1273 (C). A, B: Plazentaprobe einer Frau, die vor und während der Schwangerschaft mit Comirnaty geimpft wurde und in der 36. Schwangerschaftswoche an COVID-19 erkrankte. C, D: Plazentaprobe einer Frau, die vor der Schwangerschaft mit Spikevax geimpft wurde. Kreise = interessierender Bereich; Pfeile = positiv gefärbte Zellen.
Sowohl vor der Schwangerschaft injizierte Frauen als auch während der Schwangerschaft injizierte Frauen können in seltenen Fällen das fremde Genmaterial in der Plazenta haben. Damit ist klar, das modRNA-LNPs oder Exosomen mit modRNA während der Schwangerschaft in die Plazenta gelangen können. Beim Fall der vor der Schwangerschaft injizierten Frau wäre es spannend gewesen auch das Kind zu testen, weil es sich hier um Strukturen handelt, die vom Fötus gebildet werden, ob das Kind selbst auch betroffen ist.
Bei vor der Schwangerschaft injizierten Frauen mit positivem modRNA-Nachweis stellt sich mir dir Frage, ob die modRNA in/an der Zygote (sperm mediadet gene transfer) enthalten war und daher in der Placenta noch zu finden ist, weil sich das Produkt bei den Teilungen der Zellen in die Plazenta ausgedünnt hat, oder ob das Problem im Nachhinein eingewandert ist. Embryonalentwicklung habe ich nur in der Grundvorlesung gehabt, das kann ich nicht abschätzen.
Das Fazit der Autoren:
In unserer Studie konnte das Spike-Protein von SARS-CoV-2 nach Infektion und/oder Impfung in Hofbauer- und Trophoblastenzellen der Plazenta sowie im Endothel der Kapillaren der Plazentazotten nachgewiesen werden, was auf eine mögliche transplazentare Wirkung oder Aufnahme oder beides hindeutet. Darüber hinaus haben wir mithilfe der RNAScope-Technik Rückstände der Impfstoff-RNA gefunden, jedoch keine virale RNA in zwei einzelnen Spike-Protein-Proben. Aufgrund unserer Einschlusskriterien und der kleinen Kohorte wurde kein Zusammenhang zwischen dem Nachweis von Spike-Protein oder modRNA in der Plazenta und dem medizinischen Ergebnis von Mutter und Kind festgestellt. Daher möchten wir dazu ermutigen, diese Untersuchung an einer größeren Gruppe zu wiederholen.
Hofbauerzellen: Makrophagen des Fetus
Trophoblastenzellen der Plazenta: Mischgewebe 50:50, stammen vom Fetus, nicht von der Mutter.
Endothel der Kapillaren der Plazentazotten: Mischgewebe 50:50, stammen vom Fetus, nicht von der Mutter.
Ich weiß nicht, ob auch rein mütterliche Strukturen untersucht wurden oder nicht. Wenn sie untersucht wurden und Spike-negativ waren bzw. modRNA negativ waren und die Funde nur in den fetalen Strukturen vorhanden waren, wäre das spannend zu wissen.
Mir fehlt zudem er Impfstatus des Vaters in den Untersuchungen. Fälle von ungeimpften Frauen mit geimpften Vätern wären noch wichtig in solchen Untersuchungen.
Insgesamt jedoch endlich eine Studie dieser Art, die durch die Zensur ging. Das ist ein erster Anfang, auch wenn noch nicht alle Fragen damit geklärt sind.
Follmann, D., Janes, H. E., Buhule, O. D., Zhou, H., Girard, B., Marks, K., Kotloff, K., Desjardins, M., Corey, L., Neuzil, K. M., Miller, J. M., Sahly, H. M. E., & Baden, L. R. (2022). Antinucleocapsid antibodies after SARS-COV-2 infection in the blinded phase of the randomized, Placebo-Controlled mRNA-1273 COVID-19 vaccine efficacy clinical trial. Annals of Internal Medicine, 175(9), 1258–1265. https://doi.org/10.7326/m22-1300 https://www.acpjournals.org/doi/10.7326/M22-1300
Nye, G. (n.d.). THE PLACENTA IN THE DEVELOPMENTAL ORIGINS OF HEALTH AND DISEASE. Society for Endocrinology. https://www.endocrinology.org/endocrinologist/143-spring-22/features/the-placenta-in-the-developmental-origins-of-health-and-disease
Dad’s genes build placentas, study shows. (2001, March 17). Cornell University College of Veterinary Medicine. https://www.vet.cornell.edu/about-us/news/20130812/dads-genes-build-placentas-study-shows
Capobianco E, Pirrone I. The POHaD paradigm: role of the placenta in paternal programming. Placenta. 2026 Jan;173:160-165. doi: 10.1016/j.placenta.2025.04.027. Epub 2025 May 4. PMID: 40350327. https://pubmed.ncbi.nlm.nih.gov/40350327/
Turco MY, Moffett A. Development of the human placenta. Development. 2019 Nov 27;146(22):dev163428. doi: 10.1242/dev.163428. PMID: 31776138. https://pubmed.ncbi.nlm.nih.gov/31776138/
Turco MY, Moffett A. Development of the human placenta. Development. 2019 Nov 27;146(22):dev163428. doi: 10.1242/dev.163428. PMID: 31776138. https://pubmed.ncbi.nlm.nih.gov/31776138/
Lin X, Botros B, Hanna M, Gurzenda E, De Mejia CM, Chavez M, Hanna N. Transplacental transmission of the COVID-19 vaccine messenger RNA: evidence from placental, maternal, and cord blood analyses postvaccination. Am J Obstet Gynecol. 2024 Jun;230(6):e113-e116. doi: 10.1016/j.ajog.2024.01.022. Epub 2024 Feb 1. PMID: 38307473. https://pubmed.ncbi.nlm.nih.gov/38307473/
Sharma AJ, Reefhuis J, Zauche LH, Madni SA, Cragan JD, Moore CA, Nahabedian JF, Olson CK; CDC COVID‐19 Vaccine Pregnancy Registry team. COVID-19 Vaccination During Pregnancy and Birth Defects: Results From the CDC COVID-19 Vaccine Pregnancy Registry, United States 2021-2022. Birth Defects Res. 2025 May;117(5):e2474. doi: 10.1002/bdr2.2474. PMID: 40395208; PMCID: PMC12093198. https://pmc.ncbi.nlm.nih.gov/articles/PMC12093198/











